Content

Welcome to the CJU website » LOG IN

HOW I DO IT


(18) 2 Apr 2011

High intensity focused ultrasound (HIFU)

Jack Barkin, MD

Humber River Regional Hospital, University of Toronto, Toronto, Ontario, Canada

BARKIN J. High intensity focused ultrasound (HIFU). The Canadian Journal of Urology. 2011;18(2):5634-5643.

Introduction: Curative treatments for localized prostate cancer, from least invasive to most invasive, include brachytherapy, cryosurgery, three-dimensional conformal radiation therapy, external beam radiation therapy, and radical prostatectomy. A patient with localized, low risk or intermediate risk prostate cancer who is diagnosed at an early age and receives one of these treatments has only an approximately 50% chance of maintaining an undetectable prostate-specific antigen (PSA) level, good spontaneous erections, and total continence by 5 years after treatment.

Objective: This article discusses transrectal high intensity focused ultrasound (HIFU) treatment of localized prostate cancer using the Sonablate 500 (Focus Surgery, Indianapolis, IN, USA) device, which the author has adopted in favor of the Ablatherm (EDAP, TMS S. A., Lyons, France) device, the other HIFU device approved for use in Canada.

Method: Characteristics of the ideal prostate cancer include stage T1-T2b, less than 40 cc in size, and with an anterior-posterior dimension of up to 35 mm high. The anterior zone of the prostate is treated before the posterior zone. The procedure involves 2 to 3 second bursts of ultrasound energy, followed by 3 second cooling cycles. In each treatment lesion, the physician achieves a temperature of 100° C at the focal point. The device allows for real-time visualization of tissue response following the delivery of ultrasound energy.

Conclusion: HIFU is a minimally invasive, outpatient treatment for localized prostate cancer that provides similar short term and medium term cure rates and considerably less morbidity and side effects than other treatments. Although the effectiveness of HIFU has not yet been demonstrated in large, long term studies, this treatment option should be discussed with patients who have just been diagnosed with low risk or intermediate risk prostate cancer and desire aggressive, noninvasive, curative therapy, with potentially a lower incidence of side effects compared to conventional therapy.

Key Words: HIFU, prostate cancer

Introduction

Prostate cancer is still the number one diagnosed cancer in man in North America. In Canada, an estimated 24,600 men will be diagnosed with prostate cancer this year, and approximately 4300 men die from prostate cancer each year.1 It is the second most common type of cancer that causes death among men in North America.

Over the last several years, physicians have been able to detect prostate cancer at a much earlier stage. Prior to 1990, approximately 47% of men presented with low risk or intermediate risk prostate cancer. Since 2002 almost 75% of men are diagnosed with low risk or intermediate risk prostate cancer.2 Clinicians can offer these patients a cure, if the cancer is treated early.

There has been an ongoing debate over the last few years concerning the advisability of screening for prostate cancer. Recently published results from two large screening trials – The Prostate, Lung, Colorectal and Ovary (PLCO) cancer trial in the United States and the European Randomized Screening for Prostate Cancer (ERSPC) trial in Europe – have led to increased confusion over the merits of screening, because the number needed to screen to prevent one cancer death was so large. However, there have been many criticisms of the way these two trials were conducted and the validity of their findings.3,4 The recently published Prostate Cancer Prevention Trial (PCPT) showed that even men with low serum levels of prostate-specific antigen (PSA) had a risk of being diagnosed with high grade prostate cancer.5 We still do not know how to identify, diagnose, and treat only men who are at high risk of dying from their prostate cancer. Urologists have been perhaps unfairly criticized for treating men who really did not require treatment for their nonaggressive cancer. However, using available technology, we are not yet completely accurate in predicting “badly behaving” cancers.

This article focuses on transrectal high intensity focused ultrasound [HIFU] as a therapeutic option for patients who have just been diagnosed with low risk or intermediate risk prostate cancer and who desire aggressive, but noninvasive therapy with the intent to cure the prostate cancer.

Today there are a number of curative treatments for localized prostate cancer. Apart from HIFU, going from the least invasive to the most invasive approach, a patient can be offered active surveillance (if very low cancer stage, Gleason score, and volume of cancer) brachytherapy, cryosurgery, three-dimensional conformal radiation therapy (3-D CRT), external beam radiation therapy (XRT), or radical prostatectomy (performed either as open surgery, laparoscopic surgery, or robotically assisted surgery). One significant problem remains. No matter which treatment a patient chooses, all have an associated rate of biochemical failure, which is defined as increasing PSA levels without obvious clinical evidence of cancer.

Katz and Rewcastle reported that after brachytherapy, cryotherapy, 3-D CRT, XRT, or radical prostatectomy, 5 year, biochemical-failure-free survival rates ranged from 60% to 98% among patients with low risk prostate cancer, and from 26% to 89% among patients with intermediate risk prostate cancer. The 5 year, biochemical-failure-free survival rates after HIFU ranged from 75% to 81% for patients with low or intermediate risk prostate cancer.6

Biochemical failure usually predates clinical failure (evidence of cancer). The significant death rate from prostate cancer suggests that physicians are not able to offer salvage curative treatment to all men who have demonstrated biochemical failure after treatment for prostate cancer.

The other important consideration for a patient is that all treatment modalities have potential side effects – incontinence and erectile dysfunction – that can have a very detrimental effect on his quality of life. The ultimate success in the treatment of localized prostate cancer is a “trifecta” outcome: that is, undetectable PSA levels (suggesting destruction of the cancer), normal erectile function, and no evidence of urinary incontinence.

All of the aforementioned treatment modalities apart from HIFU are associated with an erectile dysfunction rate of approximately 50% and an incontinence rate of approximately 1% to 3%. In the past few years, two trials have reported rates of trifecta outcomes after surgical treatment for prostate cancer. A trial from Memorial Sloan-Kettering in New York looked at 647 patients who had a mean age of 58 and underwent open surgery radical prostatectomy.7 Bilateral nerve-sparing surgery was done in 94% of the patients. The investigators reported that trifecta outcomes – defined as serum PSA less than 0.2 ng/mL, no incontinence (dry without pads), and normal erections (with or without a phosphodiesterase-type 5 [PDE-5] inhibitor) – was attained by 30% of the patients at 1 year, 42% at 2 years, 47% at 3 years, and 53% at 4 years, postoperatively. The second trial looked at 380 patients in Chicago who underwent bilateral nerve-sparing robot-assisted laparoscopic radical prostatectomy (RALP), to see whether this treatment could provide an earlier returned to work, less morbidity, and fewer side effects.8 The men replied to questions from the International Index of Erectile Function (IIEF) questionnaire to determine their erection score and answered another questionnaire to quantify their continence level. Trifecta outcomes (undetectable PSA, no incontinence, and no erectile dysfunction) were achieved by 16% of patients at 3 months, 31% at 6 months, 44% at 12 months, and 44% at 24 months, postoperatively. In the second study, the trifecta outcomes after robot-assisted surgery were comparable to those attained after open surgery.

Currently, a man with localized, low risk or intermediate risk prostate cancer who is diagnosed at an early age still has only an approximately 50% chance of maintaining a normal PSA level, good erections, and total continence a number of years after treatment, regardless of which treatment (other than HIFU) is chosen. If a physician could offer such a patient transrectal HIFU – which is a minimally invasive, out-patient procedure that provides similar cure rates and less morbidity with the added bonus that if treatment fails the patient can undergo a second treatment without a significant increase in morbidity – this could be an attractive alternative. Table 1 shows HIFU efficacy rates.

HIFU can be used to treat benign prostatic hyperplasia (BPH) as well as prostate cancer. With HIFU, precise, focused, ultrasound waves are delivered to the target tissue, which raises the temperature of this tissue to nearly 100° C in 2 to 3 seconds. Repeat, rapid-firing ultrasound waves are delivered, which destroy the targeted tissue, leaving the surrounding tissue intact. The procedure is performed without general anesthetic (usually spinal and IV sedation) and it does not require making an incision in the skin.

Research on HIFU began in the 1950s at Indiana University, in Indianapolis. In 1994, Dr. Michael Marberger and Dr. Stephan Madersbacher at the University of Vienna used the Sonablate 200 (Focus Surgery, Indianapolis, IN, USA) device to perform the first HIFU study in human prostate cancer. They treated 29 human prostates in the body and then performed radical prostatectomies to confirm that the energy delivered by HIFU had been sufficient to destroy the targeted tissue. They found that the treatment could be performed safely, could be repeated if necessary, and provided an effective ablation of cancerous prostate tissue.9

In 1995, a study at Indianapolis University showed that the whole prostate could be treated without damaging the prostate capsule or the rectal wall. In 1999, Dr. Toyaki Uchida, in Japan, began treating patients using the first commercially available Sonablate HIFU device, the Sonablate 200. In 2001, the Sonablate 500 was approved for use in Europe. Figure 1 shows the Sonablate 500 device. At the end of 2005, Health Canada approved the use of the Sonablate 500 for the treatment of prostate cancer. On March 12, 2006, I performed the first HIFU procedure using this device on a Canadian patient, in Toronto. Since then, over 500 men with prostate cancer have been treated in Toronto with HIFU performed using the most recent model, the Sonablate 500 version 4. Use of the Sonablate has not yet been approved by the US Food and Drug Administration (FDA) for the primary treatment of prostate cancer. However, an FDA-approved trial for men who have failed primary external beam radiation treatment for prostate cancer is currently being conducted in the United States and Canada. The case report in Figure 2 describes a patient in this study.

There are presently two HIFU machines approved for use in Canada: the Sonablate 500 (Focus Surgery, Indianapolis, IN, USA) and the Ablatherm (EDAP TMS S.A., Lyons, France). I chose to adopt the Sonablate for the following reasons:

1) The Sonablate is the only HIFU device that can treat prostates up to 40 g in size without the need for a preprocedure transurethral resection of the prostate (TURP) to ensure full glandular ablation.

2) This device has a very wide range of power settings that can be adjusted by the treating physician. The power adjustments are made in response to real-time visualization of images of tissue response following the delivery of ultrasound energy. More recently, a software innovation has allowed for “tissue change monitoring” (TCM), which provides immediate feedback about whether the desired temperature has been achieved in each treatment lesion (3 mm x 3 mm x 12 mm in size). This is confirmed by the immediate post treatment color change shown on each treatment lesion. If the desired temperature (color) is not achieved for a particular lesion, the physician can re-treat that lesion at the end of the therapy.

3) Sonablate creates precise, reproducible areas of tissue destruction that are 10 mm or 12 mm high. These are smaller than the lesions of tissue destruction created by the Ablatherm machine, so this allows for greater precision and conformity at the margins and periphery of the prostate gland. Figure 3 shows the lesion size with the Sonablate.

4) The Sonablate provides real-time, three-dimensional (3-D) imaging that enables the physician to detect even slight movement of the device or the prostate gland, which could compromise treatment. The 3-D and 2-D simultaneous presentation of the coronal, sagittal, and transverse images allows for very precise planning, guaranteeing treatment of the whole prostate.

5) At every moment during treatment four images are being projected on the screen. Two images represent the coronal and transverse reference images prior to treatment. The other two images are real-time response images that demonstrate the effects and tissue changes due to heating the prostate. By comparing the reference images to the treatment images, the physician can also see if there has been any movement of the prostate.

6) There are many built-in alarm systems to ensure that the physician is delivering the energy to the exact, targeted location and that there are no barriers to affect ultrasound wave transmission and that heat is being absorbed in the correct location.

7) The Sonablate uses a fully integrated probe with four built-in transducers. Each set of two transducers has an imaging crystal and a treatment crystal with specific focal lengths. The transducer can be “flipped” internally, such that on one side there is a 4 cm focal length treatment/imaging crystal and on the other side there is a 3 cm focal length treatment/imaging crystal.

8) The device has built-in Doppler ultrasonography, which allows for the identification and mapping of the neurovascular bundles to facilitate a “nerve-sparing” HIFU treatment.

Over the past 10 years there have been many reports about the effectiveness of HIFU. In a presentation at the 2009 American Urological Association meeting, Dr. Toyaki Uchida reported on 10 year follow up data on patients that had been primarily treated for their prostate cancer with HIFU using the Sonablate machine – from the early S200 model to the most recent S500 version 4 model. The studies stratified patients into low risk, intermediate risk, and high risk categories. The reported end points included biochemical disease-free rates, negative biopsy rates, incidence of urethral stricture, erectile dysfunction rates, and incontinence rates. He reported that after transrectal HIFU using the Sonablate, 8 year biochemical disease-free rates were 95% in low risk patients and 88% in intermediate risk patients. The rate of negative biopsy was 93%; the overall erectile dysfunction rate was approximately 17%; and the incontinence rate was less than 2%.10

In a study published in the British Journal of Urology in 2006, Illing and colleagues demonstrated improved efficiency and biochemical PSA response with “visually-directed” HIFU (where power settings were adjusted to achieve visual signs of tissue ablation on ultrasound images) as opposed to algorithm-based HIFU (where a prescribed power setting algorithm was used to adjust the temperature based on the measured rectal wall distances from the surface of the probe). Among patients treated with visually directed HIFU, the PSA nadir (lowest level) at 3 months after treatment was 0.2 ng/mL or lower in 84% of the patients and was undetectable in 33% of the patients.11

Method

HIFU is noninvasive, outpatient, primary treatment for localized prostate cancer, performed under spinal anesthetic with intravenous sedation, with the intent to totally ablate the prostate tissue and cure the cancer. The patient is able to return home the same day.

The ideal prostate cancer

Stage

The ideal stage is that of localized primary prostate cancer (stage T1-T2b) or localized radiation-resistant prostate cancer.

Size

Prostates up to 40 cc can be treated easily and completely, although glands of higher volumes can be treated if all of the dimensions (AP is critical 40 mm) can be accessed by the probe. The larger the gland, then the longer the treatment time. On average, it takes 1 hour for every 10 cc of prostate, which includes planning the procedure, checking the patient, and setting up the device.

Dimensions

The critical dimension is prostate height, which should be ≤ 35 mm. This is based on the assumption that the physician is using a probe with a 4 cm focal length, which allows for a 5 mm space between the surface of the probe and the capsule of the prostate (peri-prostatic fat and rectal wall thickness), to ensure that the energy reaches the top of the anterior zone of the prostate.

If the prostate parameters do not meet these criteria, it can be reduced in size either medically (by giving the patient a luteinizing hormone releasing hormone [LHRH] agonist/antagonist or a 5-alpha reductase inhibitor [5-ARI], for 3 months – shrinkage) or surgically (by performing TURP or green-light laser surgery – debulking) prior to HIFU, to allow treatment access to or be able to compress the anterior zone.

Calcifications

There should not be any calcifications that are larger than 1 cm by 1 cm, in the middle or posterior zones of the prostate. Such calcifications would prevent the “through-transmission” of the ultrasound beams and would allow the reflection of the energy back towards the probe causing “near-field heating” and potential damage to surrounding tissues. HIFU treatment can be done after brachytherapy failure, if the seeds have been placed in a homogenous manner with regular spacing.

Urethra

It is important that a patient has a patent urethra and bladder neck. At the start of the HIFU procedure, a catheter is passed to allow filling of the bladder with saline, affording an easier introduction of the indwelling stab-suprapubic catheter. The presence of a pre-existing urethral or bladder neck abnormality will prevent easy insertion of a catheter and can also diminish the chances for normal voiding after the procedure.

Rectal size

The rectum should accommodate a two finger dilatation, which allows insertion of the probe. Even though the focal length of the Sonablate probe is longer than the Ablatherm probe, the diameter of the Sonablate probe is considerably smaller than the Ablatherm probe.

Pretreatment patient information

Prior to treatment, the patient must meet certain requirements and receive a general medical clearance (similar to that needed prior to general anesthesia). The history questions and preprocedure tests include:

1) History of lower abdominal vascular or general surgery (eg, mesh graft hernia repair).

2) History of any problems with previous epidural anesthesia or spinal anesthesia.

3) History of sleep apnea, excessive snoring, smoking, or alcohol abuse.

4) Medications, allergies.

5) Acetylsalicylic acid (ASA), clopidogrel (Plavix) and other anticoagulants should be stopped prior to the procedure, with the permission of the internist. There is concern of bleeding with the insertion of the catheter for the delivery of the spinal anesthesia, not from the HIFU procedure.

6) Electrocardiogram (EKG) and chest x-ray (if applicable), urinalysis, urine culture and sensitivity, complete blood count (CBC), and, if appropriate, blood sugar, electrolytes, prothrombin time [PT], partial thromboplastin time [PTT], and international normalized ratio [INR] if appropriate

7) Biopsy-confirmed prostate cancer, ideally with biopsy mapping and declaration of neural involvement to better plan the possibility of a nerve-sparing approach. The three dimensions (height, length, and width) and volume of the prostate must be known, to determine if preprocedure prostate shrinkage/debulking is necessary.

8) Recent serum PSA level to determine whether a metastatic work up is necessary.

After the decision to proceed

1) The patient completes all preoperative instructions and questionnaires including the IIEF, the International Prostate Symptom Score (IPSS), and an incontinence questionnaire.

2) The physician describes the procedure to the patient and discusses the insertion of and discharge with the suprapubic (SP) catheter to drain urine from the bladder during his period of anticipated postprocedure retention.

3) The physician discusses postoperative expectations, catheter care, drugs, trials of voiding, timing of SP catheter removal, and follow up.

Preprocedure instructions

1) Anticoagulants must be stopped at the appropriate time before the procedure.

2) Starting 24 hours before the procedure, the patient is not allowed to eat or drink anything other than clear fluids.

3) The patient is not allowed to take anything by mouth (NPO) from 10 pm the night before the procedure.

4) He is given two enemas, one the night before the procedure and one the morning of the procedure.

5) The patient is instructed to take all regular medications with a sip of water on the morning of the procedure.

6) Diabetic patients are scheduled to undergo the procedure ahead of nondiabetic patients.

7) On the morning of the procedure, after a patient provides informed consent, he is given oral ciprofloxacin, cough syrup, and Tylenol No. 3 containing codeine, to treat infection, to prevent coughing, and to prevent pain, respectively.

8) The spinal anesthetic is delivered.

9) With the patient in the supine position, a Foley catheter is passed, the bladder is filled with saline, and then a stab incision is made to insert a suprapubic 12 French gauge catheter. The catheter is then sutured in place.

10) About 200 cc of saline is left in the bladder, and the patient is placed in the lithotomy position while the intravenous sedation is started.

The procedure

1) The rectum is dilated to a width of two fingers using some ultrasound jelly, and at the same time the physician checks to ensure that the rectum is empty of stool and mucous. If anything is found, saline irrigation is performed until the rectum is clear.

2) The ultrasound HIFU probe, covered with a condom, through which there is a continuous circulation of “chilled, degassed” water that has been prepared by the technologist, is gently inserted into the rectum and fixed to the stepper (the three-direction-adjustable ultrasound probe holder that is attached to the table).

3) The probe is positioned with the aid of the balloon on the Foley catheter (to help identify the bladder neck), so that the full expanse of prostate can be visualized and thereby treated from base to apex and side to side, ideally without adjusting the position of the probe until that zone is completely finished.

4) The volume of the prostate is then measured without any compression being applied. This allows the physician to determine whether the prostate can be treated in two or three zones from the anterior to the posterior zone, given that the HIFU treatment lesion is typically 12 mm or 10 mm high depending on whether the ultrasound waves are transmitted from the 4 cm or 3 cm focal length crystal, respectively. There is also a 3 mm overlap between the 3 cm and 4 cm focal length treatment zones.

5) Using the stepper, after completion of a full treatment zone, the physician then slowly adjusts the position of the probe such that, using the 4 cm probe, the top of the 12 mm treatment lesion is placed at the roof of the prostate and projects towards the midzone.

6) Then on the “Volume” screen, 15 transverse images are created, starting from the base and progressing to the apex of the prostate.

7) The physician maps the treatment zones on each of these images.

8) New images with the superimposed treatment plan are then produced on the “Treatment” screen.

9) The physician then reviews the unique 2-D (transverse and sagittal) or 3-D (transverse, sagittal, and coronal) “stacking” images (35 slices in the sagittal plane and 15 slices in the transverse plane), which allows for fine sculpting and precise implementation of the prostate treatment plan, so that the bladder neck, apex, and lateral margins of the prostate can be preserved, while all the cancerous tissue is ablated/treated.

10) Power settings in watts as well as temperature setting algorithms are based on the distance from the surface of the probe to the rectal wall; there are different settings for the 4 cm or 3 cm focal length probes.

11) The Foley catheter is removed before the treatment begins.

12) The intent is that with 2 to 3 second bursts of ultrasound energy, followed by a 3 second cooling cycle on the 4 cm probe (or a 6 second cooling cycle on the 3 cm probe), in each 3 mm x 3 mm x 12 mm treatment lesion, the physician will achieve a temperature of 100° C at the focal point. This will create white cavitation or “popcorning” on the screen. A small amount of tissue response (popcorning) in the treatment box is defined as Uchida grade 1. More coalescing of the cavitation within the treatment box is defined as Uchida grade 2. Popcorning outside of the treatment box is defined as Uchida grade 3. See Figure 4.

13) The TCM software also provides feedback on a lesion-by-lesion basis to tell the operator if the desired temperature has been achieved.

14) Once the complete anterior zone has been treated and the physician has confirmed that all lesions have achieved the desired temperature, then the probe is slowly (so as to not break the seal between the rectum and condom, which would suck in gas, mucous, etc.) dropped so that the focal point is next directed at either the middle or posterior zone (overlying the rectum), depending on the anterior-posterior dimension of the prostate.

15) Before treating the posterior zone, the probe is “flipped” internally, so that now the physician is performing ablation based on the 3 cm focal length probe, which creates a lesion that is only 10 mm high and defaults to a lower starting power setting of 24 watts (versus 37 watts on the 4 cm probe) and has a built-in, noncancellable 6 second cooling cycle after each lesion. All of these measures are designed to ensure precise, safe treatment to the posterior zone, while preventing the inadvertent creation of a prostatic-rectal fistula, caused by excessive or dispersed heating of the rectum.

16) Prior to engaging the machine for the posterior zone, using the built-in Doppler the physician can define and map the neurovascular bundles, which, if appropriate and safe, can be avoided while performing nerve-sparing HIFU, affording the patient the best chance of good erectile function after HIFU.

17) If appropriate, the seminal vesicles can easily be treated separately, after treating the posterior zone.

18) Once all zones have been checked for adequate treatment, and if the operator is satisfied, the probe is removed and the patient is sent to the recovery room. Any single lesions that, based on the TCM feedback, have not achieved the desired heating can be individually retreated prior to probe removal.

Post-procedure

1) Sedation is stopped.

2) When the spinal anesthesia wears off, the patient is allowed to walk, thereby testing recovery of leg function.

3) The patient and his partner are given instructions about signs of catheter malfunction, what to do about other potential problems, and the timing and manner in which to perform the voiding trials.

4) The patient is discharged with a script for an alpha blocker, an anti-inflammatory agent, and possibly an anti-cholinergic agent and a PDE-5 inhibitor (for penile rehabilitation).

5) He is instructed about the goal of achieving a residual urine volume of less than 100 mL on repeated trials of voiding, which will be the sign for any local physician to remove the SP catheter.

6) The patient is asked to complete and submit IIEF, IPSS, and incontinence surveys and get a serum PSA test, at 3 months after the procedure, and every 3 months thereafter for the first 2 years.

7) The PSA nadir is often reached by 6 months, if not sooner. Any significant rise from the nadir would instigate a biopsy.

8) Sometimes the patient will develop a urethral stricture or bladder neck contracture (< 5% of patients). These can usually be managed with office dilatation, or possibly with a visual internal urethrotomy (VIU).

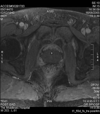
9) Retained “slough” that is preventing adequate bladder emptying can usually be resected or scraped out with a cold loop. The ultimate goal is that, after the sloughing of the ablated tissue, there will be a significant prostate defect as shown in the MRI images before and after HIFU treatment, Figure 5.

Discussion

Unlike radiation, HIFU uses clean or nonionizing energy, so the procedure may be repeated if necessary without damaging healthy tissue. A physician can do a salvage prostatectomy after failed HIFU, if desired. It is slightly more difficult than a primary prostatectomy and much less difficult than a salvage procedure after radiation therapy.

There is a learning curve for performing successful HIFU, with a training program that involves observation on five HIFU treatments, didactic and simulator training, partial performance of the stages of another five treatments, followed by being proctored on three to five cases by a certified HIFU proctor. Each HIFU procedure requires the presence of a physician, a nurse, an engineer-technologist, and an anesthetist.

Until the advent of HIFU, when a patient had persistent or recurrent prostate cancer after radical radiation treatment, the only other treatment options were salvage prostatectomy or hormone therapy. It appears that HIFU may provide a noninvasive, safe, and effective salvage treatment in this very-difficult-to-treat population. Zacharkis and colleagues reported that among men who had recurrent prostate cancer after primary “curative” external beam radiotherapy, 71% of the men had no evidence of disease following salvage therapy with HIFU.12

During 2007 to 2008, Feliciano and colleagues performed a pilot study in New York using HIFU to treat patients who had persistent/recurrent biopsy-proven prostate cancer following radiation therapy.13 This study showed that 82% of patients had negative biopsies at 6 months. These results were so encouraging that the FDA approved a study sponsored by USHIFU using the Sonablate 500 machine, described earlier. The study will recruit 212 prostate cancer patients who failed to be cured with primary external beam radiation therapy and who will be given “salvage” HIFU therapy. This salvage study is being done in the United States and Canada.

Conclusion

Compared to other primary treatments for localized prostate cancer, HIFU is a noninvasive, outpatient alternative that is achieving similar short term and medium term cure rates, with considerably less morbidity and side effects. There are no published large, randomized long term studies yet that show equal or better outcomes with HIFU compared to conventional options. However, if HIFU is available (and affordable), I believe this treatment option should be discussed with patients who are looking for the least invasive, least morbid, yet effective primary curative treatment for localized prostate cancer.

Disclosure

Dr. Jack Barkin discloses that he is a consultant for Focus Surgery and the Director of Can-Am HIFU in Toronto, Ontario, Canada.

Accepted for publication March 2011

Address correspondence to Dr. Jack Barkin, Humber River Regional Hospital, Assistant Professor, 960 Lawrence Avenue West, Suite 404,Toronto, Ontario M6A 3B5 Canada



TABLE 1. HIFU efficacy findings*

Key finding Length of follow up % MD Presentation/study
Negative biopsy rate 1 year 91% Sumitomo, Hayakawa, and Nagakura 1 year outcomes following HIFU Japan Endourology & ESWL conference 2005
Biochemical disease-free rate 6 years 97% (low-risk group, pre-HIFU PSA < 10 ng/mL) Uchida, Shoi, and Nagata HIFU for localized prostate cancer, 6 year experience Japan Endourology & ESWL Conference 2004
Nadir PSA after visually directed HIFU 3 months 84% (PSA of 0.2 ng/mL or lower) Emberton, Illing, Dawkins, and Ogden British Journal of Urology, Oct 2006
Recurrence rate 5% HIFU in America experience  

*From 9000 Sonablate treatments worldwide, in nearly 140 Sonablate centers with nearly 400 Sonablate 500 users. Nearly 2200 HIFU cases have been performed by North American physicians either in Canada or outside of the United States.

Source: Focus Surgery.

Figure 1. The Sonablate 500 device

BARKIN-Fig1.jpg

Case: A 57-year-old Canadian man with prostate cancer whose biopsy, done because of an increasing PSA 18 months post primary external-beam radiation treatment, was positive. He was offered and accepted salvage HIFU therapy.

Original treatment with ERBT

- In 2001, the patient, aged 57, was diagnosed with nonmetastatic prostate cancer with a Gleason score of 7 (3 + 4) and with four positive cores on biopsy.

- He was treated with external beam radiation therapy (EBRT) with adjuvant hormonal therapy.

- After radiation, his serum PSA level was undetectable.

After ERBT treatment

- The patient's serum PSA level gradually increased, and by October 2009 it was 8.25 ng/mL.

- He consequently had a transrectal ultrasound (TRUS)-guided prostate biopsy, which revealed a 23 cc prostate in which three of ten cores were positive. The Gleason score was 8 in two cores (40% of each of the two positive cores contained cancer) and 7 in one core (10% of that core contained cancer). The patient's' results from a metastatic work up were negative.

Salvage HIFU

- The patient elected to undergo salvage HIFU treatment.

- He was treated in January 2010.

- By February 2010, his PSA was undetectable, and 1 year later, his PSA is still undetectable.

- A TRUS-guided biopsy performed in January 2011 revealed that his prostate volume was less than 5 cc and the biopsy samples were all negative.

Most recent findings

- The patient has full urinary control.

- He is still able to have spontaneous erections.

- Results from a recent digital rectal examination and metastatic work up tests were all negative.

Figure 2. HIFU for prostate cancer following radiation treatment failure


Figure 3. Lesion size of Sonablate 500 vs Ablatherm HIFU devices. The figure illustrates the Sonablate: 3 mm x 3 mm x 12 mm treatment lesion. In comparison, the Ablatherm treatment lesion is 3 mm x 3 mm x 19 mm-24 mm. Image courtesy of Takai Hospital Supply © 2005.

BARKIN-Fig3.jpg

Figure 4. Images from transrectal HIFU showing “popcorning” (tissue cavitation). The physician starts treatment from the anterior region (“roof”) of the prostate. The power levels are adjusted to generate “popcorn” echoes in the therapy box where “popcorn” is defined as tissue cavitation/ablation seen as a visual white “popcorn” lesion in response to the HIFU treatment which means that the tissue temperature has been raised to 100° C. The physician continues to adjust the power to keep the “popcorn” response consistent, but contained inside the therapy box.

BARKIN-Fig4.jpg

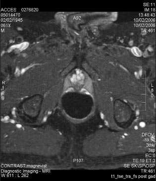
Figure 5. Pre-HIFU and Post-HIFU MRI images of the prostate.

BARKIN-Fig5a.jpg
BARKIN-Fig5b.jpg

MRI image of prostate before HIFU

Post-HIFU MRI showing cavity after prostate ablation and sloughing.


References

1. Canadian Cancer Society’s Steering Committee. Canadian Cancer Statistics 2010. Toronto: Canadian Cancer Society, 2010.

2. Cooperberg MR, Broering JM, Kantoff PW, Carroll PR. Contemporary trends in low risk prostate cancer: risk assessment and treatment. J Urol 2007;178(3 Pt 2):S14-S19.

3. Andriole GL, Crawford ED, Grubb RL et al. Mortality results from a randomized prostate cancer screening trial. N Engl J Med 2009;360(13):1310-1319.

4. Schroder FH, Hugosson J, Roobol MJ et al. Screening and prostate cancer mortality in a randomized European study. N Engl J Med 2009;360(13):1320-1328.

5. Thompson IM, Pauler DK, Goodman PJ et al. Prevalence of prostate cancer among men with a prostate-specific antigen level < or + 4.0 ng per milliliter. N Engl J Med 2004;350(22):2239-2246.

6. Katz AE, Rewcastle JC. The current and potential role of cryoablation as a primary therapy for localized prostate cancer. Curr Oncol Rep 2003;5(3):231-238.

7. Saranchuk JW, Kattan MW, Elkin E, Touijer AK, Scardino PT, Eastham JA. Achieving optimal outcomes after radical prostatectomy. J Clin Oncol 2005;23(18):4146-4151.

8. Shikanov SA, Zorn KC, Zagaja GP, Shalhav AL. Trifecta outcomes after robotic-assisted laparoscopic prostatectomy. Urology 2009;74(3):619-623.

9. Madersbacher S, Pedevilla M, Vingers L, Susani M, Marberger M. Effect of high-intensity focused ultrasound on human prostate cancer in vivo. Cancer Res 1995;55(15):3346-3351.

10. Uchida T. AUA podium presentation - Prostate Cancer- Minimal Invasive Treatments. Orlando, Florida, 2009.

11. Illing RO, Leslie TA, Kennedy JE, Calleary JG, Ogden CW, Emberton M. Visually directed high-intensity focused ultrasound for organ-confined prostate cancer: a proposed standard for the conduct of therapy. BJU Int 2006;98(6):1187-1192.

12. Zacharakis E, Ahmed HU, Ishaq A et al. The feasibility and safety of high intensity focused ultrasound as salvage therapy for recurrent prostate cancer following external beam radiotherapy. BJU Int 2008;102(7):786-792.

13. Feliciano et al. 2007-2008. Data on file with FDA.